当前位置:详情页
来源: 作者: 2024年04月24日
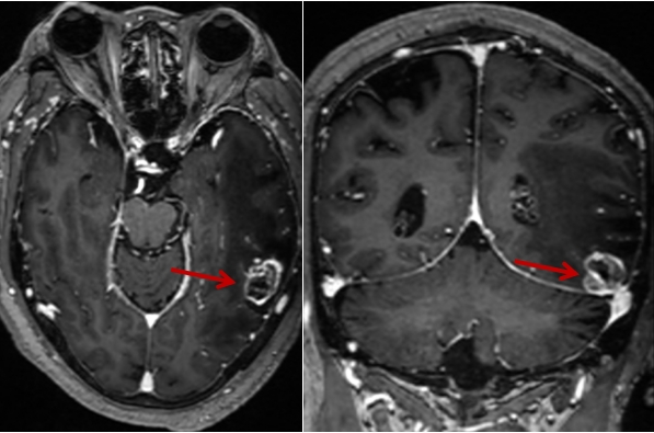
近日,79岁刘爷爷(化名)因“头痛头晕伴恶心呕吐2小时”,被家属紧急送入我院神经外科。入院后经过头部CT及增强MRI检查,其结果提示患者左侧颞叶底部肿瘤,并伴大片脑水肿,病情危重,随时有脑疝形成导致死亡的风险。

图1 术前头部MRI增强扫描(肿瘤组织强化明显,周围脑组织水肿明显)
神经外科医生立即给予降颅压、止吐、预防癫痫及补液对症治疗,并尽快完成术前检查及准备。
经完善相关检查评估,考虑颅内转移瘤,需尽快行手术治疗挽救患者生命。但患者高龄,肥胖,患有双肺支气管炎、重度高血压病史,冠心病(三支病变)合并主动脉弓溃疡、窦性心动过缓,且肿瘤位置深,脑水肿较重。评估显示患者手术风险极大,术后并发症可能较多。
针对患者面临的问题,神经外科孟辉主任医师立即组织麻醉科、心血管内科、呼吸内科、泌尿外科、影像科、医务科展开MDT(多学科会诊)讨论,为患者制定了围手术期详细周密的诊治方案,最终决定迎难而上,尽快安排手术。
为尽量降低手术风险,减少术后并发症发生,孟辉主任医师团队术前采用神经外科手术机器人RM-100对患者影像资料多模态融合与分析,三维立体精确的显示肿瘤与周围正常脑组织、血管毗邻关系:肿瘤定位于左侧颞下回后部与梭状回之间,基底起源于小脑幕,边缘紧贴横窦末端,与下吻合静脉关系紧密。

图2 多模态影像融合后行肿瘤定位、手术路径规划(红色为肿瘤组织,蓝色为静脉窦,T01为手术入路)
术前准备完善后,在麻醉科全力保障、心内科密切配合下,孟辉主任医师团队于2024年03月27日为患者行机器人引导下颅底深部肿瘤显微切除术,术中行面部激光注册与配准,误差控制在亚毫米级,全程实时跟踪定位患者病灶位置,结合手术显微镜在全程可视下实施精准的微创手术,得益于孟辉医生精湛的显微手术技术,仅4小时即顺利完成手术,肿瘤全切,神经及血管保护完好,总出血量不到200ml,整个手术过程精准、微创、高效。

图3 显微镜下切除肿瘤
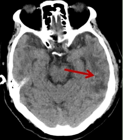
术后在ICU密切配合监护治疗下,患者症状完全缓解,很快恢复到患病前的状态,能进行正常活动,无任何并发症发生。术后病理报告为肺源性转移瘤,与家属认真沟通后尊重家属意愿不再后续治疗。患者现已出院,在四川泰康医院的治疗下,患者延长生命长度的同时,也提高了生存质量。

图4 术后复查头部CT(肿瘤切除彻底,脑水肿明显减退)

图5 患者术后正常行走