24小时服务及投诉热线:40001-95522

当前位置:详情页

四川泰康医院胸外科成功开展精准肺段切除术

来源: 作者: 2024年04月18日

近日,四川泰康医院胸外科成功开展精准肺段切除治疗早期肺癌手术。该手术通过精准定位切除肺段,解决段间结节或肺组织深部结节的切除问题,为患者提供了精准的个性化治疗方案。
一位50岁的女性患者在半年前的体检中发现右肺上叶前段一6mm混合磨玻璃样结节。作为泰康保险客户,在与保险经理人深入沟通后客户选择来到我院进一步检查诊治。
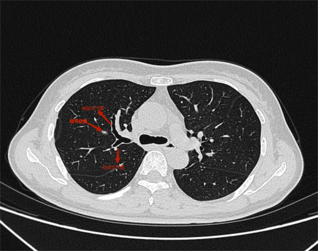
经随访观察半年后,在复查时发现结节增大至8mm,考虑早期恶性肿瘤可能性大,胸外科侯向生主任团队在详细阅读胸部CT后,确定结节位置及靶肺支气管、肺动、静脉情况,发现其结节位于右肺上叶前段与后段交接处,位置较深。结合病人意愿和病情现况,侯向生主任团队在保留肺功能和完整切除肿瘤间抉择出最优手术方案--右肺上叶前段切除。

1

2

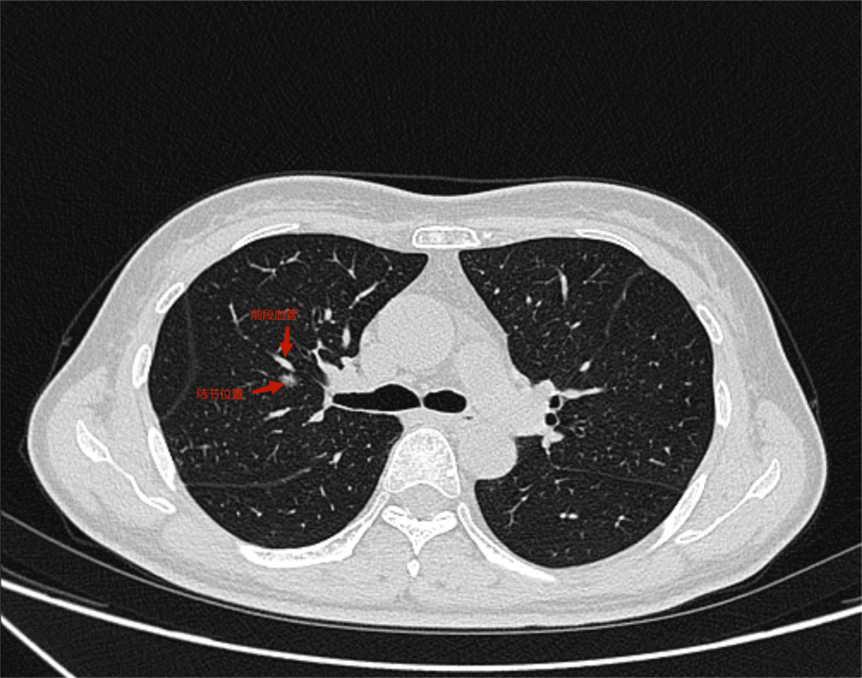
(术前胸部ct)
术中离断前段气管、血管后应用膨胀萎陷法确定段间平面位置,将前段完整切除,并极大保留剩余肺组织,手术顺利完成。
术后病理示:肺微浸润腺癌,淋巴结无转移。
手术后经过5天的对症治疗,患者治愈出院,达到满意治疗效果。
胸腔镜肺段切除术优势
胸腔镜肺段切除术目前受到极大关注,肺段血管及支气管较细小,深藏肺叶之中、解剖变异多,术中需要沿血管鞘尽可能向远端仔细分离、辨认。且肺段切除需要段间平面的确定,段间平面的确定才能更精准切除病变肺组织从而保留正常肺组织,在达到肿瘤根治的同时,最大程度保留患者的呼吸功能,并在减少术后住院时间、减轻术后疼痛等方面取得良好疗效,使病人全方位获益。
四川泰康医院胸外科采用最先进的胸腔镜设备,可做单孔或双孔胸腔镜肺叶、肺段切除手术,同时可同步行外周性结节穿刺定位后楔形切除结节已保留更多的肺功能,胸外科医师团队技术精湛,为每一位患者“量身定制”个体化的精准治疗,护佑患者身心健康。