24小时服务及投诉热线:40001-95522

当前位置:旧版本网页 > 详情页

“刀片嗓”病根在脑袋,专家一刀除顽疾

来源: 作者: 2024年06月06日

“现在我终于可以吃最爱的麻辣烫了,真应该早点来四川泰康医院治疗!”出院时,马阿姨(化名)一脸激动地向医生致谢。
马阿姨的嗓子疼了整整1年,每次都像刀割,开始以为是咽喉炎,后面被当地医院诊断为三叉神经痛,一直在治疗,但是仍然不见好转。近日,因为病情加重,辗转打听到四川泰康医院有位专家专门治疗这个病症,便前来求医。
合照
检查结果一出来,马阿姨傻眼了:以前的病根找错了!
原来,马阿姨的病根在颅内舌咽神经,被诊断为“舌咽神经痛”,这是一种由舌咽神经受到刺激引起的疾病,接受医生微血管减压术后,马阿姨终于彻底摆脱顽疾。
“吃不好、睡不好,作为一个无辣不欢的四川人,真的太恼火了!”说起自己过去被病痛折磨的经历,马阿姨仍然心有余悸。过去,只要一吃“热、辣”食物后,马阿姨就感到口舌咽喉部灼烧疼痛,严重时就像被电击、被刀割一样,而且越来越严重,之前用药还能止痛,但现在吃药也不管用了。
四川泰康医院神经外科主任苑玉清主任医师接诊了马阿姨,完善各项检查后,他发现导致马阿姨无法吃辣的原因既不是咽喉炎,也不是三叉神经痛,而是舌咽神经痛。
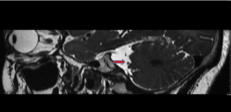
马阿姨在完善头部 MRI神经血管检查后发现舌咽神经与相邻的小脑后下动脉紧贴,结合症状,舌咽神经痛为血管压迫所致,具备手术指征。在马阿姨及其家属的强烈要求下,经苑玉清主任医师手术组讨论后为马阿姨进行手术治疗。
02
03
图一:术前头部MRI神经血管成像(舌咽神经与相邻血管紧贴)
术前准备完善后,在麻醉科全力保障支持下,苑玉清主任医师团队借助显微镜为马阿姨进行舌咽神经微血管减压术。术中采取耳后小切口、小骨瓣,结合手术显微镜微创探查、将舌咽神经与相邻血管以减压垫片精准减压,得益于苑玉清主任医师精湛的技术与丰富的经验,手术不到3小时就顺利完成。
图片1
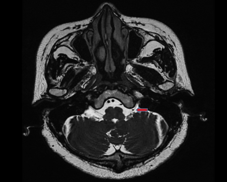
图二:显微镜下操作
术后在 ICU 密切配合监护治疗下,马阿姨恢复很快,术后第二日就拔管后转回神经外科病房,能进行正常活动,无任何并发症发生,目前马阿姨喝热水、进食“热”的食物再无口舌咽喉部疼痛,进食“辣”的食物灼烧感也大大减退,一周后便康复出院。
01
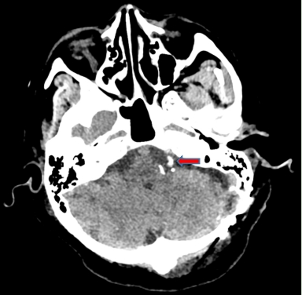
图三:术后复查CT(血管垫片位置)
“舌咽神经痛,是发生在舌根部、咽部、外耳道深部的一种剧烈疼痛。因为它的疼痛部位在舌咽神经分布区域,且疼痛是由于舌咽神经受影响所致,因此称为舌咽神经痛。疼痛性质与三叉神经痛很相似,所以很容易将二者混淆。”苑玉清主任解释,对于舌咽神经痛患者,手术治疗是最佳的治疗方案。与三叉神经痛手术治疗类似,舌咽神经痛可以选择微血管减压术。手术可以分离压迫舌咽神经的血管并于神经和血管之间垫入垫片,防止血管再次移位压迫神经。
供稿:张雨焱
文字编辑:吴舒婷
审核:苑玉清