疼痛科医生的“火眼金睛”——超声技术
来源: 作者: 2025年10月16日
提及超声,人们往往会联想到彩超室,联想到对肝胆胰脾肾的细致探查。然而,在疼痛治疗的领域内,超声技术同样发挥着至关重要的作用,它已成为疼痛医师手中的利器之一。
那么,疼痛医师如何运用超声技术呢?以下两个病例将为我们揭晓答案。
病例一:63岁男性患者。因胰腺结石、慢性胰腺炎接受了胰管切开取石及胰管空肠吻合术,术后却遭遇上腰段持续性剧烈钝痛,持续时间长达三个月,VAS疼痛评分高达9分(0分为无痛,10分为剧痛),进食和睡眠受到严重影响。泰康医院疼痛科赵达强主任决定采用超声引导后入路腹腔神经丛阻滞来控制疼痛。然而,腹腔神经丛位于腹主动脉及其分支腹腔干周围,位置深邃,周围环绕着重要脏器,一旦损伤,可能引发并发症;而穿刺至血管,除了可能形成血肿,还可能导致截瘫、肺栓塞等严重后果。因此,穿刺过程中辨识这些结构,以及清晰显示穿刺针的路径,对于确保治疗效果和降低并发症风险至关重要。超声技术在此扮演了关键角色,它能够精确识别血管和重要脏器,并实时监控穿刺针的路径及注射药物的弥散情况,从而实现了精确穿刺至目标部位的同时,有意识地规避了重要器官。经过超声引导的腹腔神经丛阻滞治疗后,该患者的疼痛缓解程度超过50%,VAS疼痛评分降至3分以下,吗啡使用量大幅减少,进食和睡眠状况得到显著改善。
![]() |
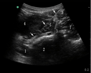
超声引导后入路腹腔神经丛阻滞超声图像
1.腹主动脉 2.腰2椎体 3.横突 4.肾脏
5.腰大肌 6.腰方肌 7.竖脊肌 箭头:穿刺针
病例二:一位四十九岁的女性患者在外院进行左上臂脂肪瘤切除术后,不幸出现了左侧腕关节无力伴下垂的症状。在泰康医院,疼痛科赵达强主任通过超声细致扫查,发现患者桡神经内存在疑似线头的异常声影。这一线索引起了赵主任的高度重视,随后神经外科医生进行了桡神经探查术,证实了桡神经确实受到手术缝线的损伤,并成功移除了残留的线头。术后,赵主任采用超声引导技术对桡神经进行了修复治疗,超声图像清晰地显示出桡神经被术后瘢痕紧密包裹,导致了神经肿胀,功能难以恢复。借助“火眼金睛”——超声技术的精准辨识,赵主任小心翼翼地将神经与瘢痕分离,并观察到修复药物在神经周围均匀扩散。经过一个多月的持续治疗,患者的左腕关节功能正在逐渐恢复。



(超声图附加说明:穿刺针分离桡神经周围的瘢痕包裹)

(手术后)
借助这两个典型病例的分析,超声技术凭借其清晰展现组织结构、实时指导穿刺操作、即时监控药物分布范围等显著特点,已逐步成为疼痛科医师实现精准治疗的有效辅助,可视化的治疗工具之一。




