纵使记忆消褪,关爱守护常在—— 四川泰康医院眼科助阿尔兹海默病患者重见清晰
来源: 作者: 2026年01月09日
“XX医院说,只能全麻手术,而且术后需要转ICU观察,我们特别担心奶奶经不住,所以检查都做完了,还是办理了出院,来咱们这就诊,是想问问咱们这里能不能局麻做手术?”
2025年末,患者金婆婆(化名)的孙辈在我院眼科张帆主任的诊间述说婆婆的病情和诊治经过,原来金婆婆除了因为白内障看不清楚以外,还患有较重的阿尔兹海默病,同时伴有颅内多发动脉瘤、慢性肾病、高血压等全身疾病,现在身边完全离不了家属,而旁边的金婆婆非常安静地坐在轮椅上,好奇地看着张帆主任。


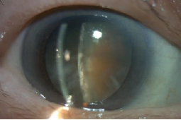
右眼晶状体情况 左眼晶状体浑浊情况
作为有二十年临床手术经验的眼科医生,张帆主任知道,这样的情况下保证手术顺利成功的最好方式就是全麻。同样,患者多发且复杂的全身病情,让麻醉风险成倍增加,但面对家属的恳求,张帆主任还是决定试一试。
为了尽可能减少金婆婆在术中的不适,医护们术前反复多次进行了术中铺单模拟,不断和金婆婆聊天交流,建立信任、增进感情,并且寻找金婆婆意识最佳的时间段。
与此同时,神经内科、神经外科、肾脏内科、心血管内科、心血管外科、心身医学科、内分泌科、麻醉科八个科室联合会诊,做好围手术期管理,为手术顺利进行创造条件。
经过严格的术前管理评估和术前准备,12月23日上午,在麻醉科的全程守护中,张帆主任在局麻下为金婆婆进行左眼白内障超声乳化联合人工晶体植入手术,为了保证金婆婆的心身状态,我科首次邀请患者家属台旁陪同,手术在局麻下顺利完成,还未离开手术室,家属便连连道谢。

金婆婆在家属的陪同中进行白内障手术
术后第一天,金婆婆的左眼视力由0.1提升到0.5,存在轻微的术后反应,金婆婆表示“看清楚了”“很清楚”,而家属更是说到“很满意了,还想尽快做右眼的手术”。

术后第一天检查
每一次迎难而上的挑战,都会带来前所未有的幸福感,医生们完成的不只是一台白内障手术,更是对金婆婆无言的爱,也是对子女孝心的成全;或许不久后,金婆婆会忘了这一切,但我们会永远记得,这个冬天有这样一道光,温暖着我们的临床之路。
在这个长寿时代,让医养融合深入人心,为老年人创造更有尊严、更有品质的晚年生活,这一直是我们努力的方向,愿所有忘记这个世界的老年人,晚年都可以被呵护和关爱。



