锦旗致谢显担当,精准诊疗护泌尿——四川泰康医院泌尿外科“结石一体化”治疗获患者认可
来源: 作者: 2026年04月09日
近日,四川泰康医院泌尿外科收到一面饱含深情的锦旗。患者因左肾“铸形结石”入院,周逢海主任团队为其成功实施单一微通道经皮肾镜碎石取石术。术后复查显示结石已完全清除,实现一次性治愈。这份暖心致谢,是对科室技术实力与服务品质的高度认可。

单一微通道经皮肾镜碎石取石术,较传统经皮肾镜手术的通道直径更细、损伤更小、患者恢复更快。是一项利用极细通道和负压吸引技术,在高精度、高难度操作下实现的微创碎石技术。它的核心价值在于用更小的创伤换取更好的结果(清石率和恢复速度)。
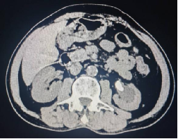
术前影像学检查:



术后腹部平片:

该患者结石经成分分析确诊为“一水草酸钙结石”,为后续个性化防复发治疗提供了精准依据,也充分彰显了我科“泌尿系结石一体化综合治疗”的独特优势。区别于传统单纯取石模式,我科建立了从精准诊断、微创治疗、结石分析到防复发管理的全程闭环诊疗体系,针对不同成分、不同部位的结石制定个体化方案,真正实现“治已病、防未病”。
作为泰康医疗6+N重点临床学科,四川泰康医院泌尿外科技术实力雄厚,常规开展泌尿系结石、泌尿系肿瘤、前列腺疾病等各类泌尿外科中大型手术,熟练掌握经皮肾镜、输尿管软镜、腹腔镜等微创技术,手术创伤小、恢复快、清石率高,能为各类泌尿疾病患者提供规范化、个体化诊疗服务。

一面锦旗,一份责任。未来,四川泰康医院泌尿外科将持续深耕专科技术,优化结石一体化诊疗流程,以更专业的技术和更优质的服务,为广大患者的泌尿健康保驾护航,为医院专科诊疗发展持续助力。



